At Modern Smile Design, we offer a comprehensive range of dental and aesthetic treatments designed to help you achieve a healthier, more confident smile. Our expert team uses state-of-the-art technology and personalized care to ensure the best results for every patient.

Regular dental care is essential for maintaining oral health. Our preventive and restorative services ensure your teeth and gums stay healthy while addressing any dental concerns
✔ Routine Cleanings & Checkups – Comprehensive exams and professional cleanings
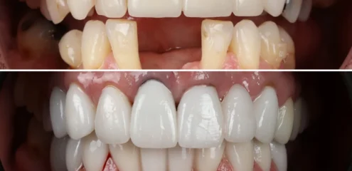
✔ Veneers – Custom-designed shells to enhance your smile
✔ Inlays & Onlays – Restorations for damaged or decayed teeth
✔ Crowns & Bridges – Durable solutions for missing or weakened teeth
✔ Root Canal Therapy – Pain-relieving treatment to save infected teeth
✔ Dental Fillings – Natural-looking cavity repairs
Straighten your teeth comfortably and discreetly with clear aligners customized for your smile.
✔ Teeth Straightening Without Metal Braces – A virtually invisible orthodontic solution
✔ Clear, Non-Allergenic Aligners – Designed for comfort and ease of use
✔ Faster & Better Outcomes – Efficient alignment with customized treatment plans


We use state-of-the-art digital technology to design and customize your ideal smile before treatment begins.
✔ DSD-Certified Provider – Expertise in Digital Smile Design
✔ Custom 3D Treatment Planning – Precision-based treatment plans using CBCT data
✔ Virtual Smile Try-Ons – See your new smile before committing to treatment
Replace missing teeth with permanent, natural-looking solutions that restore function and aesthetics.
✔ Single & Multiple Tooth Implants – Durable, long-term replacements
✔ All-on-4 Implant Solutions – Full-arch restoration for missing teeth
✔ Zirconia Metal-Free Restorations – Aesthetic, biocompatible implant options


Healthy gums are the foundation of a beautiful smile. We provide advanced gum care treatments to prevent and manage periodontal disease.
✔ Laser-Assisted Gum Therapy – Minimally invasive treatment for gum disease
✔ Peri-Implantitis Therapy – Specialized treatment to protect dental implants
✔ Customized Medication Applications – Personalized solutions for gum health
Brighten your smile safely with our professional whitening treatments.
✔ In-Office Sensitivity-Free Whitening – Fast and effective whitening sessions
✔ Take-Home Custom Whitening Trays & Kits – Whiten your teeth at your convenience
✔ 20-Minute Whitening Touch-Ups – Quick solutions for long-lasting brightness


Enhance your natural beauty with non-invasive treatments designed to refresh and balance your appearance.
✔ Laser-Assisted Facial Rejuvenation – Improve skin texture and elasticity
✔ Hyaluronic Acid Injections – Restore facial symmetry and volume
We offer specialized injectables to relieve jaw discomfort and facial pain.
✔ TMJ Dysfunction Treatment – Alleviate jaw pain and improve function
✔ Orofacial Pain Management – Targeted solutions for chronic facial pain
